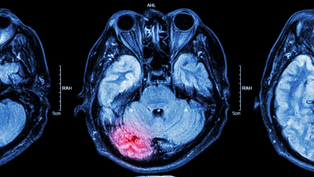
Kiedy "trzask" w kręgosłupie może skończyć się udarem mózgu. Fizjoterapeuta: największa grupa ryzyka to osoby przed 45. rokiem życia

Bóle pleców są prawdziwą chorobą cywilizacyjną. Często leczenie wiąże się z wizytą u ortopedy lub — coraz popularniejszych, między innymi za sprawą filmików w internecie pokazujących rzekomo udane zabiegi — chiropraktyków. Nastawienie przemieszczonego kręgu może przynieść pacjentom niemal natychmiastową ulgę, jednak właśnie podczas tego zabiegu czai się ukryte niebezpieczeństwo: udar mózgu spowodowany przez samą procedurę, która ma uwolnić od bólu. Doświadczony fizjoterapeuta wyjaśnia, jak można zminimalizować to ryzyko. Przestrzega też, że największą grupą ryzyka są raczej młodsi pacjenci, czyli poniżej 45. roku życia. — W tej grupie wiekowej jest to nawet najczęstsza przyczyna udaru — mówi.

Artykuł pochodzi z tej strony.

← Poprzedni artykuł
Kukiz ujawnia majątek. Dom, mieszkanie i prawa aut...
Następny artykuł →
Rekordowy Bieg Rossmann Run z aplikacją i 2,8 mln ...
O autorze wpisu
Sebastian
Dziennikarz